We are a team of dedicated dental professionals in Miami, redefining the patient experience through advanced technology and personalized care.
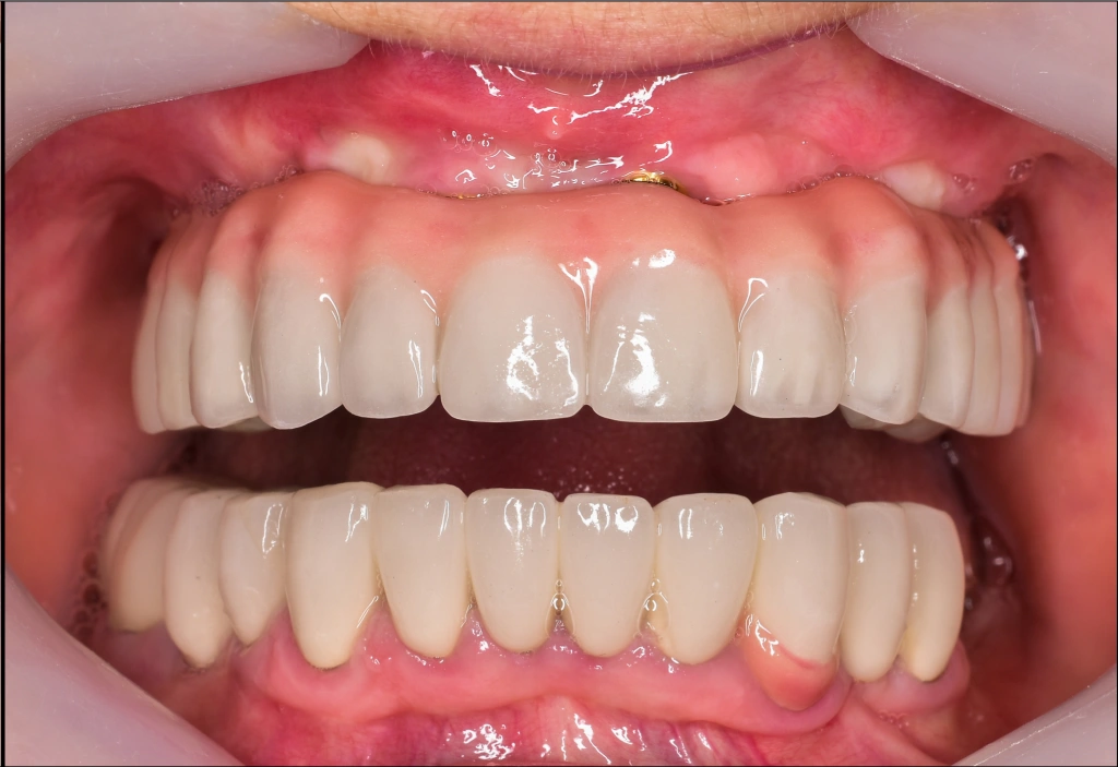
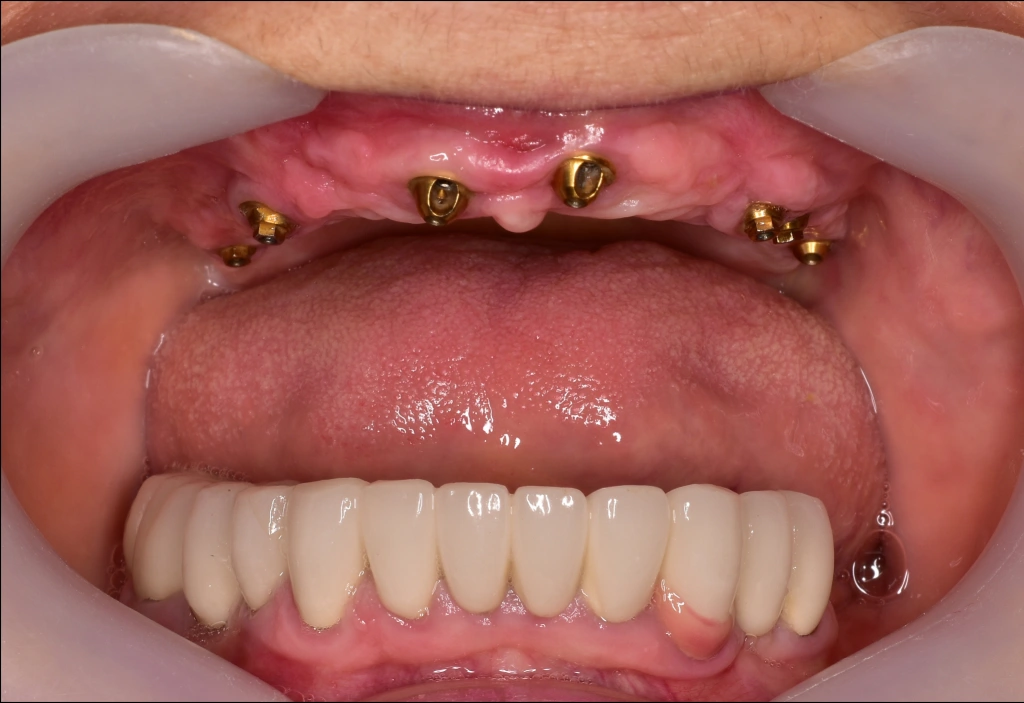
At NextGen Dental, we are moving beyond traditional dentistry. By integrating cutting-edge AI-assisted diagnostics and advanced digital workflows, we provide treatments that are more accurate, faster, and more comfortable than ever before. Our mission is to lead the way in modern dentistry, making high-end oral health accessible to our entire community. Our mission is to lead the way in modern dentistry, making high-end oral health accessible to our entire community.
We are dedicated to providing high-quality dental care and empowering our patients to achieve the healthy, beautiful smiles they deserve.
Dr. Gary Beyer is the owner of NextGen Dental with over 24 years of clinical excellence. A graduate of Marquette University, he specializes in full-mouth reconstruction and cosmetic dentistry. He is Invisalign® certified and a proud member of the American Dental Association.
Dr. Olesia Kesova is a “transformation coach” dentist who has been creating beautiful smiles in the area since 2007. With advanced training from NSU and Queen’s University (UK), she focuses on dental implants, restorative care, and veneers. Outside the office, she stays motivated through jogging and yoga.
At NextGen Dental, technology isn’t just a tool—it’s the foundation of a better patient experience. We’ve reimagined dental care to be more precise, comfortable, and tailored to your life.
Advanced Technology
Gentle Care
Efficiency First
Patient Comfort
Step into a clinic where cutting-edge technology meets patient-centric design. See the advanced tools and modern spaces that make our care exceptional.
Technology is the heartbeat of our practice.
Advanced Tech
Gentle Care
Efficiency First
Digital Workflow
Join thousands of happy patients who have experienced the next generation of dental care in Miami.
Posted on Maksim SafiullinTrustindex verifies that the original source of the review is Google. Excellent clinic! The staff is incredibly friendly and highly professional. You can definitely trust them to take care of your smile. Highly recommend!Posted on nikita verbytskyyTrustindex verifies that the original source of the review is Google. Very professional staff, they got my appointment in on time, they made sure that i was comfortable and satisfied with the work. Dr Beyer was very good and i can tell he was very very experienced. i recommend anyone to come here for any dental inquires a person might have. i will definetly come again it was worth it!Posted on Gracie WardTrustindex verifies that the original source of the review is Google. Very sweet and gentle staff! And very good at dealing with anxious patients like myself. Overall very happy I came here!Posted on Kristi MoodTrustindex verifies that the original source of the review is Google. I had an amazing experience at this dental clinic and I’m honestly beyond impressed. The doctors here are truly professional, especially Marianna and her assistant. She treated my teeth and placed my crowns, and the result is absolutely beautiful. I’m in love with my new smile! I’ve been to other clinics in Miami before where I constantly felt pressured and overcharged, but here everything is transparent, clear, and exactly according to the price list. No surprises, no stress — just honest, high-quality work. The staff is wonderful, friendly, and very attentive. They speak both Russian and English, which made me feel even more comfortable. I left the clinic happy, confident, and smiling. Highly recommend this place to anyone looking for a trustworthy dental clinic!
Book your comprehensive consultation today and experience the future of dentistry.
Fill out the form below and our team will contact you shortly to confirm your appointment and answer any questions.